زانو یکی از پیچیدهترین مفصلهای بدن است که وزن و حرکت را همزمان تحمل میکند. تخریب غضروف، آسیب رباطها و آرتروز از شایعترین دلایل درد زانو هستند. تا چند سال پیش، راهحل نهایی برای آرتروز شدید، جراحی تعویض مفصل زانو بود؛ اما امروزه با پیشرفت در طب بازساختی، روشهایی مانند تزریق سلولهای بنیادی و SVF بهعنوان گزینههای غیرجراحی در مراحل متوسط بیماری مطرح شدهاند.
عملکرد مفصل زانو و دلایل تخریب آن
مفصل زانو از سه بخش استخوان ران، استخوان ساق و کشکک تشکیل شده است. بین اینها غضروف مفصلی یا همان سطح صاف وجود دارد که حرکت بدون اصطکاک را ممکن میکند.
با افزایش سن، ضربههای مکرر یا ابتلا به بیماریهای متابولیک، این غضروف بهتدریج نازک میشود و استخوانها به هم ساییده میشوند. نتیجه این فرآیند همان درد، خشکی و التهاب مزمن زانوست که در مراحل پیشرفته، دیگر با دارو و فیزیوتراپی قابل کنترل نیست.
جراحی تعویض مفصل زانو؛ راهحل قطعی برای آرتروز شدید
تعویض مفصل زانو یکی از موفقترین جراحیهای ارتوپدی است و بیش از ۹۰٪ بیماران بعد از عمل، کاهش چشمگیر درد و بازگشت حرکتی دارند. در این روش، بخشهای تخریبشده استخوان و غضروف برداشته میشود و با مفصل مصنوعی از جنس تیتانیوم یا آلیاژ کروم کبالت جایگزین میگردد.
عمل جراحی حدود ۱ تا ۲ ساعت زمان میبرد و بیمار معمولاً دو روز بستری میشود. توانبخشی و فیزیوتراپی نقش مهمی در بازگشت حرکت طبیعی دارد.
هزینه جراحی تعویض مفصل زانو در پاییز ۱۴۰۵ در بیمارستانهای تخصصی بین ۱۶۰.۰۰۰.000 تا ۳۰۰.000.000 تومان متغیر است و شامل پروتز، اتاق عمل و مراقبت بعد از عمل میباشد.
مزایای جراحی تعویض مفصل زانو
- حذف کامل درد مزمن و التهاب
- بهبود قابلتوجه در راه رفتن و فعالیتهای روزمره
- عمر متوسط مفصل مصنوعی بین ۱۰ تا ۱۵ سال
- امکان انجام مجدد جراحی در صورت فرسودگی مفصل
بیش از ۹ میلیون بیمار در جهان این عمل را با موفقیت پشت سر گذاشتهاند. اگرچه هزینه اولیه بالاست، اما دوام طولانی و کیفیت زندگی بهتر آن را ارزشمند میکند.
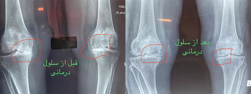
سلولدرمانی زانو؛ بازسازی طبیعی غضروف
سلولدرمانی یکی از جدیدترین روشهای غیرجراحی برای درمان آرتروز زانو بهشمار میرود. در این روش، سلولهای بنیادی از بدن خود فرد استخراج و پس از آمادهسازی، در داخل مفصل تزریق میشوند. این سلولها توانایی ترمیم سلولهای آسیبدیده غضروف و کاهش التهاب دارند.

مزایای سلولدرمانی:
- بدون جراحی و بخیه
- دوره نقاهت کوتاه (۲ تا ۵ روز)
- کاهش درد تا ۷۵٪
- بهبود حرکتی مفصل تا دو سال
هزینه هر زانو برای سلولدرمانی در مراکز تخصصی بین ۵۵.000.000 تا ۹۵.000.000 تومان تخمین زده میشود.
روش SVF چیست و چه تفاوتی با سلولدرمانی دارد؟
روش SVF (SVF = Stromal Vascular Fraction) یکی از پیشرفتهترین روشهای بازسازی غضروف است. در این تکنیک، سلولهای بنیادی بهصورت مستقیم از بافت چربی شکم یا ران استخراج میشوند و پس از تصفیه، بدون کشت سلولی مجدد به مفصل تزریق میگردند. این سلولها شامل ترکیبی از سلولهای بنیادی، سلولهای اندوتلیال و فاکتورهای رشد هستند که بازسازی را سریعتر آغاز میکنند.
در مقایسه با سلولدرمانی کلاسیک، روش SVF نتایج سریعتر و دوام بیشتری دارد، زیرا سلولها تازه و زنده بدون فرآیند طولانی جداسازی تزریق میشوند.
هزینه درمان SVF برای هر زانو در پاییز ۱۴۰۵ بین ۷۵.000.000 تا ۱۲۰.000.000 تومان است و معمولاً در اتاق عمل سرپایی با بیحسی موضعی انجام میشود.
مقایسه سه روش اصلی درمان زانو
| روش درمان | نوع عمل | بازگشت به کار | ماندگاری نتیجه | هزینه تقریبی |
|---|---|---|---|---|
| فیزیوتراپی و تزریق دارویی | غیرجراحی | چند روز | موقت | ۵ تا ۱۰ میلیون تومان |
| سلولدرمانی | غیرجراحی | کمتر از یک هفته | حدود ۲ سال | ۵۵ تا ۹۵ میلیون تومان |
| تعویض مفصل | جراحی کامل | ۳ تا ۶ ماه | بیش از ۱۰ سال | ۱۶۰ تا ۳۰۰ میلیون تومان |
مراقبت بعد از درمان و نقش فیزیوتراپی
حتی در درمانهای غیرجراحی مثل تزریق سلولهای بنیادی یا SVF، فیزیوتراپی بعد از تزریق اهمیت دارد. حرکات کششی ملایم باعث تحریک ترمیم بافت و جلوگیری از خشکی مفصل میشود.
در جراحی تعویض مفصل، توانبخشی از روز دوم پس از عمل آغاز میشود و بیماران معمولاً تا سه ماه تمرینات روزانه راه رفتن و خم کردن زانو را زیر نظر متخصص انجام میدهند.
هزینه فیزیوتراپی بعد از هر درمان حدود ۵۰۰.000 تا ۱.000.000 تومان برای هر جلسه است.
انتخاب روش مناسب؛ تصمیم پزشک متخصص ارتوپدی
تشخیص اینکه بیمار باید تحت سلولدرمانی قرار گیرد یا جراحی تعویض مفصل، به شدت تخریب غضروف، سن، وزن و سطح فعالیت روزانه بستگی دارد.
بیمارانی که هنوز فضای مفصل و غضروف سالم دارند، از روش SVF یا سلولدرمانی سود میبرند. اما در مواردی که استخوانها به هم چسبیدهاند و درد مزمن وجود دارد، جراحی تعویض مفصل بهترین گزینه است.
پزشک متخصص ارتوپدی با استفاده از MRI و معاینه بالینی، نوع درمان مناسب را تعیین میکند.
جمعبندی و معرفی متخصص ارتوپدی
درد زانو دیگر یک پایان برای زندگی فعال نیست. از تزریق سلولهای بنیادی و روش SVF تا جراحی کامل مفصل، علم ارتوپدی امروز راهکارهایی نو و مؤثر برای بازگرداندن کیفیت زندگی ارائه کرده است.
هر بیمار متفاوت است و تشخیص دقیق توسط متخصص ارتوپدی مجرب، کلید موفقیت درمان خواهد بود.
دکتر امین کامرانیراد، متخصص ارتوپدی و فلوشیپ جراحی مفاصل
با تجربه گسترده در سلولدرمانی، SVF و تعویض مفصل زانو، مشاوره تخصصی درباره انتخاب بهترین روش درمان را بر اساس شرایط هر بیمار ارائه میدهد.
بیماران میتوانند پس از معاینه دقیق، تخمین دقیق هزینه و برنامه درمانی شخصی دریافت کنند تا بازگشت به حرکت و زندگی بدون درد برایشان ممکن شود.
سوالات متداول درباره درمان زانو با جراحی و سلولدرمانی
۱. چه زمانی جراحی تعویض مفصل ضروری میشود؟
وقتی غضروف زانو بهطور کامل از بین رفته باشد، درد مزمن شبانه و خشکی شدید وجود داشته باشد و تزریق یا دارو دیگر اثر نکند، جراحی تنها راه بازگشت به حرکت طبیعی است.
۲. آیا سلولدرمانی زانو جایگزین جراحی است؟
سلولدرمانی و روش SVF در مراحل متوسط آرتروز مؤثرند، اما در موارد شدید تخریب مفصل نمیتوانند جای جراحی را بگیرند.
۳. تفاوت اصلی بین سلولدرمانی کلاسیک و SVF چیست؟
در سلولدرمانی، سلولهای بنیادی جداسازی و در آزمایشگاه آماده میشوند؛ اما در SVF سلولها مستقیماً از چربی بدن استخراج و بلافاصله تزریق میشوند، بنابراین فعالیت بازسازی سریعتر آغاز میشود.
۴. آیا روش SVF بیهوشی دارد؟
خیر، فقط با بیحسی موضعی انجام میشود و بیمار پس از چند ساعت مرخص میگردد.
۵. ماندگاری نتیجه سلولدرمانی یا SVF چقدر است؟
بهطور میانگین بین ۱۸ تا ۲۴ ماه دوام دارد، اگر بیمار وزن مناسب، فیزیوتراپی و تغذیه درست داشته باشد طول عمر نتایج بیشتر میشود.
۶. هزینه سلولدرمانی یا SVF در ایران چقدر است؟
سلولدرمانی معمولاً بین ۵۵.000.000 تا ۹۵.000.000 تومان
روش SVF بین ۷۵.000.000 تا ۱۲۰.000.000 تومان
هزینه بستگی به مرکز درمانی و شدت آسیب دارد.
۷. آیا بعد از سلولدرمانی میتوان ورزش کرد؟
بله، اما باید از حرکات سنگین و ضربهای تا دو ماه پرهیز شود. فیزیوتراپی ملایم بهترین روش تقویت نتیجه تزریق است.
۸. دوره نقاهت جراحی تعویض مفصل چقدر است؟
معمولاً سه تا شش ماه طول میکشد تا بیمار به فعالیت کامل برگردد. راه رفتن از روز بعد از عمل با واکر شروع میشود.
۹. آیا احتمال عفونت یا رد پروتز وجود دارد؟
احتمال عفونت با رعایت اصول جراحی کمتر از ۲ درصد است و پروتزهای امروزی از جنسهایی هستند که بدن آنها را پس نمیزند.
۱۰. چه کسی بهترین گزینه برای مشاوره درمان زانو است؟
دکتر امین کامرانیراد، متخصص ارتوپدی و فلوشیپ جراحی مفصل، با تجربه گسترده در سلولدرمانی و جراحی تعویض مفصل، بهترین گزینه برای بررسی دقیق وضعیت مفصل و تعیین روش درمان مناسب است.



